🌈こんにちはマヒロです (@mahironomado)
子供の虫歯予防
家庭で
・毎日のブラッシング🦷
歯科で
・クリーニング👩🏻⚕️
・フッ素🌡
と思ってました知りませんでした😵
虫歯予防に
『シーラント』
未知な処置なので
じっくり先生の話を聞き
どんな処置なのか確認できたので
今日やってもらっちゃいました#今まで知らなかったこと#なまら北海道— まひろ@✨パパはファラオ様〜✨ (@mahirobnoblog) February 17, 2020
ということで
昨年引越しをしてから、かかりつけの歯医者を変えることを戸惑っていたのですが
✅ずっと遠くまで通わないといけない
✅将来的に子供1人で受診しに行く
今後のことを考え近所の歯医者へ息子を歯科検診に連れていった結果
クリニックの先生から

「歯に詰め物をして虫歯を防ぐシーラントをお勧めしますがどうされますか?保険適応での処置になります」
今まで知らなかった
クリーニングとフッ素以外の虫歯予防法
『シーラント』をすすめていただき
息子が施術したのでご紹介します

『シーラント』???????
これまで何度か歯科にかかっているが聞きなれない言葉
わからないまま施術をするのは良くないので
わからないことは医師に色々確認し
その説明から信頼できる医師であること、シーラントは有益な処置であること
を納得できたのでやってもらうことにしました
この記事では
医師にシーラントについて聞いて教えてもらったこと
どんな治療だったのか
を書いています
子供の歯を守るための『シーラント』をしようか悩んでいる人に役立つ内容になっていると思います
シーラントとは
歯(特に奥歯)には溝があります。
溝には汚れがたまってそこから虫歯になりやすく
そこが虫歯になってしまうことが多い部分
虫歯になってしまいそうなところを隠してしまおうとすることが
《シーラント》
です
この溝をプラスチックで埋めて、食べ物が詰まりにくくします。
これがシーラントと呼ばれる予防治療です。
『シーラント』を薦められた理由
子供の虫歯予防は、
- 〔歯みがき〕
- 〔フッ素〕
ぐらいしか知識がない私にとっては、
突然聞いた『シーラント』たる未確認飛行物体ならぬ、知らないワードに正直困惑しましたが先生の話をまとめると2つのおすすめするポイントがあるようでした
🌟虫歯予防
歯の溝というものはとても複雑です
ブラッシングだけでは汚れをしっかり取り除くことはできません
医師が言っていた事をまとめると
シーラントには虫歯予防効果があります
✔️乳歯でも永久歯でもシーラントによるむし歯の予防効果が期待できます。
➡️永久歯に生え始めてからの2年間は咬み合う面の溝が深いため、シーラントの効果が高い
とくに、永久歯の6歳臼歯(第一大臼歯)はむし歯になりやすく、上は内側の溝が、下は頬側の溝が虫歯になりやすくなっています。
➡️乳歯〈生えたばかりの歯〉は、スポンジのように軟らかく、酸に対する抵抗力(対抗力)が非常に弱い反面、さまざまな、ミネラルを吸収する力をもっているので、シーラントはより有効だと言われています。
🌟保険適用
シーラントした当日の会計はこちら
550円
診療報酬とか詳しいことはわかりませんが
幼児は自治体の補助
もあるのでおそらく
500円ちょっと
で施行可能だと思われます
![]()
乳歯の息子がした方がいい理由
Q.うちの息子は5歳まだ乳歯なので、永久歯になってからでもいいのでは?

「乳歯の虫歯が奥の方まで到達すると、次の永久歯を虫歯にしてしまうことがあります。
口腔内を悪い環境にしてしまうことから守る
乳歯の虫歯はその後の永久歯の歯並びにも影響があるのでしっかり乳歯の段階から対策を講じることはとても有用なんですよ
乳歯にシーラントを行う目的は、それを防ぐことでもあるんですよ。」
なるほどなるほど
シーラントをやらないという選択肢がなくなりました
シーラントの処置の流れ
処置全体で15分程度で終わります
処置が終わった後、息子に聞いても
決して痛みが伴うような処置ではなかったようです
ただ…
15分から20分の間じっとしていることが
5歳の息子には、なかなか飽きてしまうようです。
後半5分間ぐらいは足を曲げたり手を動かしたり落ち着きない状態でした
うちの息子だけかもしれませんが…😅
で実際の流れは
1、歯の表面の汚れを取ります。歯ブラシや歯科医院にある機械で掃除します。
👇
2、シーラント処置を行う歯に水分が触れないように乾燥します。
👇
3、シーラント処置の前準備の薬を塗り、数秒おいて水を流し、再び乾燥させます。
👇
4、シーラント材を溝に塗ります。
👇
5、光で固めます。
調べてわかったシーラントのデメリット
シーラントは予防治療としてはとても優れていることはわかりましたが
デメリットもあるはず
ということで2点見つけました
まず一つ目
【永久ではない】
シーラントは取れてしまう事があります。
取れてしまったと気づいた場合は再度処置をしてもらいます
先生曰く
「とれてしまったかどうかは分かりずらいので定期的に検診で見せてください」
とおしゃってました
【費用がかかる】
タダでできる予防治療ではありません
初回でも
そして永久ではないので
定期検診で剥がれていれば、再度施術する必要があります

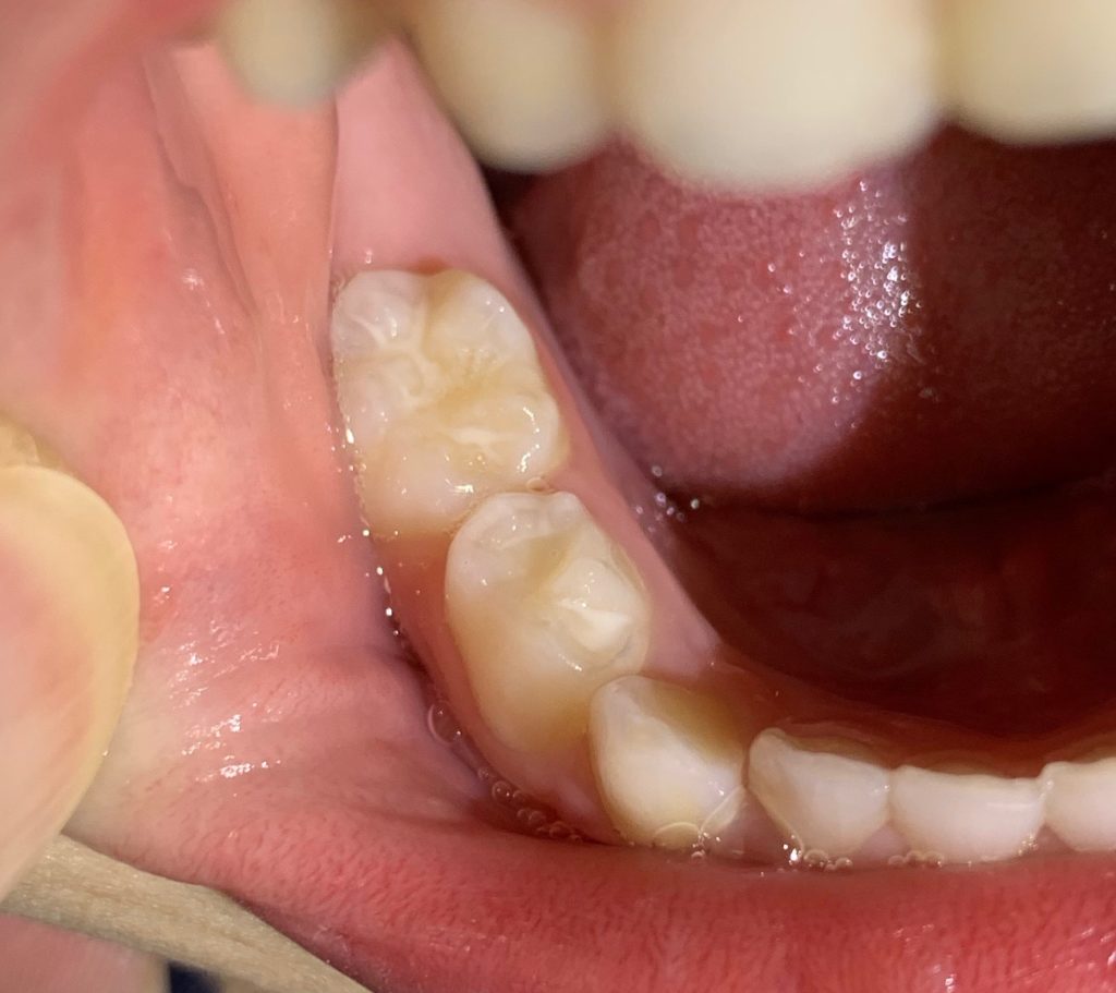
実際の処置後の写真になりますが
何が治療の跡なのか
よくわかりません
息子に聞いても、全然違和感はないようです

「シーラントは溝の部分に歯垢が溜まらないようにする処置ですが、普段通りしっかり歯磨きするようにしてください。虫歯にならないから安心と、お手入れをさぼっていると虫歯になることもあります。」
シーラント処置を行っていない場所(歯の間や側面)も注意してしっかりブラッシングのお手伝いをしてあげないといけませんね
今回息子がシーラントをして数日経ちますが
何かしらの副作用も子供が歯に違和感を訴えてきたりもありません
まとめ
シーラントは虫歯予防にはとても効果的である。
しかしながらシーラントは永久的なものではない
毎日のブラッシングをちゃんとして、定期的に検診を受けて虫歯のチェック、クリーニング、シーラントがきちんと付いているのかをチェックしてもらうことが重要です
クリーニング、フッ素、シーラントは定期的にすることはオススメしますが
重要なのは
《日常のブラッシング》
日々の息子の歯磨きについて
やはり磨き残しが多い幼児のうちは
親がしっかりサポートしてあげないといけない
という歯科医師からのアドバイスがありました
私自身
めんどくさいなぁという気持ちから
時折
息子1人で歯磨きをさせて完結してしまうことがあったので
寝る前だけは一緒にいるときにはは確認のブラッシングをしてあげることにします
最後までお読みいただきありがとうございます






コメント